Легкие в опасности: коронавирус оставляет следы в органах, протекая бессимптомно

Японские исследователи выяснили, что у тех, кто переболел COVID-19 бессимптомно, обнаружены поражения легких, сообщает портал Радиологического общества Северной Америки.
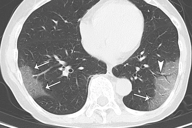
Такие данные были получены после исследования компьютерной томографии пациентов с круизного лайнера Diamond Princess.
Сообщается, что 76 человек из 104 заболевших на лайнере перенесли болезнь бессимптомно. При этом у 41 человека из числа пациентов без симптомов обнаружили «эффект матового стекла» — своеобразные поражения тканей легких.
Исходя из этих данных, японские исследователи сделали вывод, что и при бессимптомном течении болезни легким наносится вред.
Ранее сообщалось, что у 80% заразившихся коронавирусом нового типа заболевание протекает в легкой форме. У детей оно часто проходит вообще бессимптомно.
Серьезные осложнения и пневмония – вплоть до летального исхода – возникают обычно на фоне сниженного иммунитета, хронических заболеваний и в пожилом возрасте. Но и при легкой форме человек остается носителем и переносчиком инфекции.
Всего за сутки в России выявлено 1175 случаев заражения коронавирусом. Общее число заболевших достигло 8 672 человек. В Москве вечером в среду стало известно о семи смертельных случаях.

